The 27th ZMOKS Professional Seminar once again brought together dental and medical professionals for a day of in-depth clinical insight, interdisciplinary knowledge, and advanced surgical concepts.
This year’s theme — Surgical Patient. Biological Approach. Advanced Implantology. — emphasized the importance of biologically oriented treatment planning in modern dental practice.
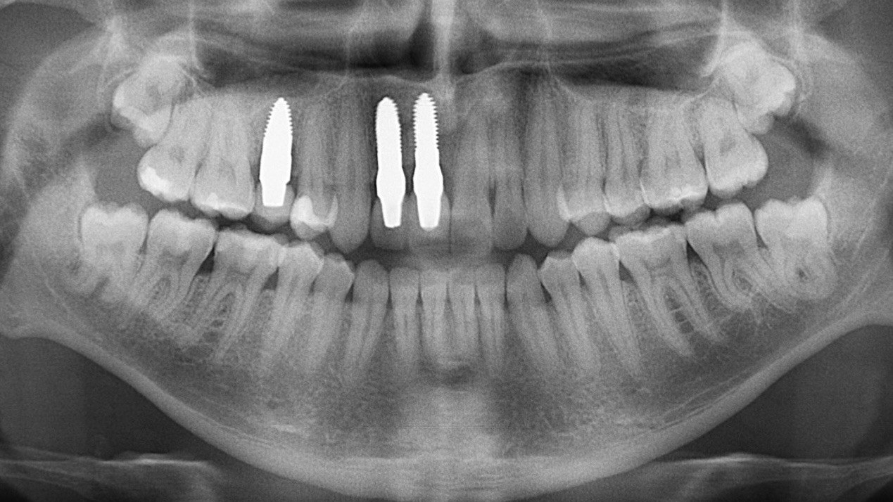
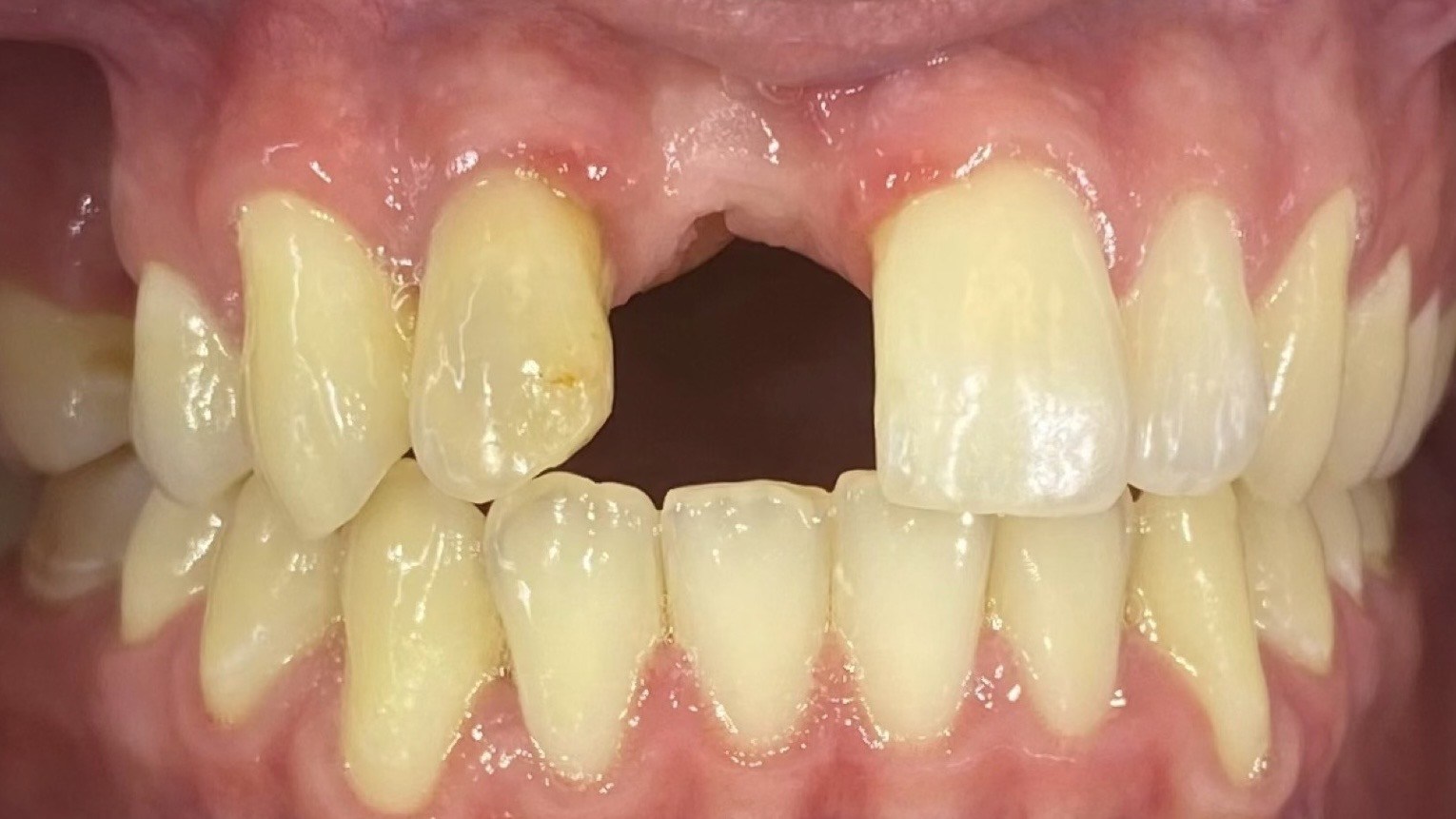
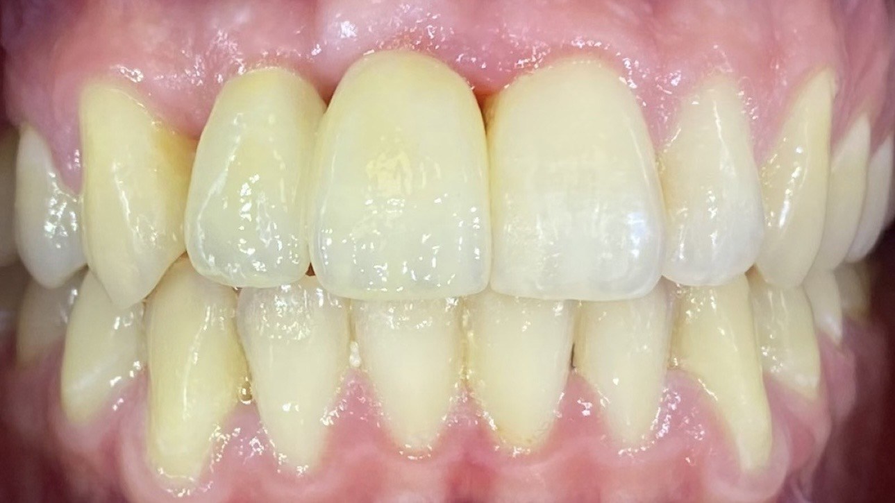
One of the standout contributions of the seminar was the clinical poster presented by Nino Kneževič, featuring a patient treated at Center Hočevar.
The poster provided a clear and structured overview of the pre-, intra-, and postoperative stages of ceramic implant placement, illustrating:
the biological reasoning behind treatment decisions,
the dynamics of soft- and hard-tissue healing,
and the long-term functional and aesthetic outcomes achievable with ceramic implants.
The presentation highlighted why biologically driven implantology — combined with precision, minimally invasive protocol selection, and ceramic biocompatibility — is setting new standards in patient-centered care.
We love ceramics!
The seminar reaffirmed the importance of continuous education, collaborative learning, and evidence-based practice.
A sincere thank-you goes to the organizers and the professional community for fostering an environment that supports the ongoing advancement of modern implantology.





